医院ブログ

CLINIC BLOG

クリニックブログ

気になる情報(矯正治療「7つの不安」、抜歯vs非抜歯治療、舌側vsマウスピース矯正など)は「こちら」からお探しいただけます。

前歯のねじれ

2026.01.29

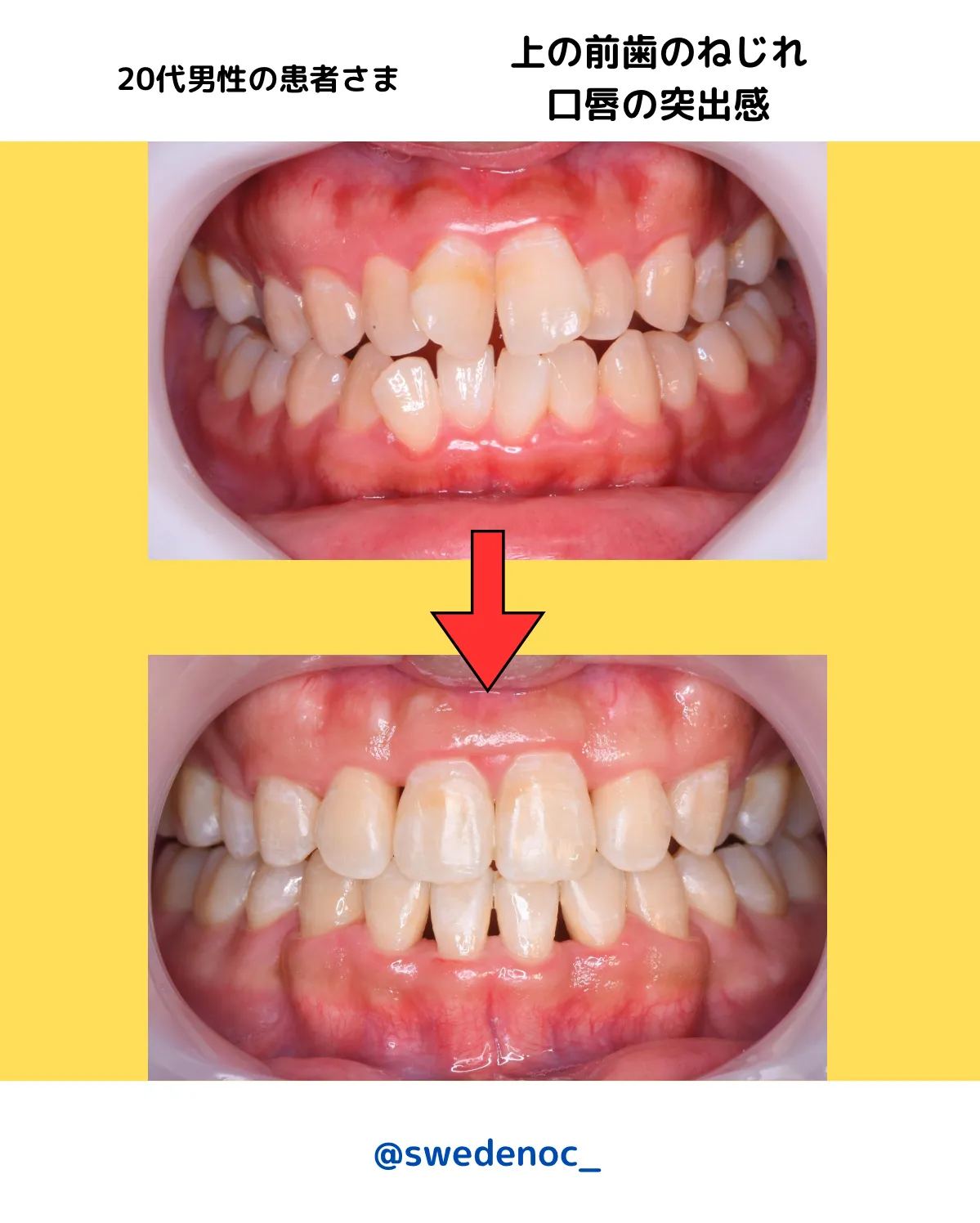
矯正治療を終えられた患者様のbefore、afterのご紹介です。👇

20代男性、主訴「前歯のねじれと口唇の突出感が気になる」

・矯正方法:上下表側に矯正器具

・矯正費用:約135万円

・矯正期間:約2年4ヶ月

 

 

インスタグラムには他の症例等も載せてありますので、そちらもご覧ください🦷

🔗:https://www.instagram.com/swedenoc_/

ARTICLE

SEARCH

ARCHIVE

お問い合わせはお気軽に

銀座一丁目より徒歩1分のスウェーデン矯正歯科です。歯並びのことなら当院にお気軽にご相談ください。インターネットでのご予約も受け付けております。

  • 03-3535-8711
  • 初診オンライン予約
  • アクセスはこちら